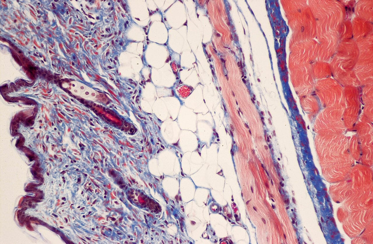
Description
Stain results:
| Nuclei: | Black | |
| Cystoplasm: | Brown to Pink | |
| Muscle: | Red | |
| Erythrocytes: | Brilliant Scarlet | |
| Collagen: | Blue to Blue Green | |
| Myelinated fibers: | Red | |
| Fibrin: | Red to Pink |
| MSDS 26364-01 | MSDS 26364-02 | MSDS 26364-03 | MSDS 26364-04 | MSDS 26364-05 |
| MSDS 26364-06 | MSDS 26664-07 | MSDS 26664-7A | MSDS 26364-08 |
References:
Clark, G.: Staining Procedures. Williams & Wilkins Co., Baltimore, 3rd ed., c. 1973, p. 59
Lillie, R.D., Arch. Path., 29:705, 1940








Reviews
There are no reviews yet.