Description
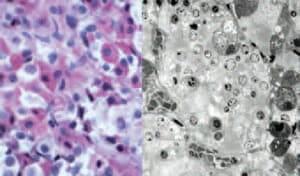
Rapid staining technique that provides high-contrast fluorescence microscopy imaging of resin embedded samples, reminiscint of low magnification transmission electron microscopy.
– Works with Epoxy and Acrylic type resins
– Simply mount your sections on glass slides, air dry, and overlay with 100 microliters FIRM for 30 seconds, wash and coverslip with water or an aqueous mountant. View in Rhodamine channel of a standard wide field Fluorescence Microscope.
– FIRM staining is unique in that the brightly fluorescent dye infiltrates the resin, revealing tissue structures in negative relief, with extremely high contrast and resolution.
– Perfect for previewing specimens prior to EM Analysis
– High Throughput, high contrast image phenotyping of model organisms such as drosophila
– Ideal for material and food science analytical microscopy








Reviews
There are no reviews yet.