Description
Technovit 9100 is a plastic embedding medium system based on methyl methacrylate (MMA), which hardens at low temperature. It is designed for the embedding of mineralized tissues with extensive possibilities of staining for light microscopy.
| D14655 | Kit consists of: | kit | |
| 1000 ml Basic Solution (stabilized) | MSDS_14655-L | ||
| 120g PMMA-Powder | MSDS_14655-P | ||
| 8 Bags @ 1g Hardener 1 | MSDS_14655-H1 | ||
| 10 ml Hardener 2 | MSDS814655-H2 | ||
| 5 ml Polymerization Regulator | MSDS_14655-R | ||
| 500g PMMA-Granulate, EXART* | MSDS_14655-G | ||
Technovit® by Kulzer: The Resins and Accessories for all Methacrylate Embedding Technovit is one of the most sought after name in Methacrylate embedding medias in the world due to its diversity and availability of different kits and properties; there is a media for each of your applications. The systems developed by Heraeus Kulzer in collaboration with renowned scientists and institutes to embed tissue in plastic material for histological studies have proven themselves in practice for decades. They are successfully used for diagnostic and research purposes in medicine, veterinary medicine and botany. They are also successfully used in cutting technology for industrial applications and biomaterials. The systems fulfill important requirements such as embedding at low temperatures, thin and semi-thin section techniques and optimal division and abrasion properties. The sections can be easily stretched, and under the light microscope the stained preparations show excellent morphology. The scientific and economic conditions for histological studies of tissues are significantly improved with Heraeus Kulzer‘s histology technology. – Simple, rational handling, as all components are compatible with one another – Due to the special material properties, the standard stain methods, enzyme chemistry and immunohistochemistry used in histological laboratories can be used, including in-situ hybridization Why plastic? In contrast to all other embedding materials used in light microscopy in histological technology, uniform thin and semi-thin sections can be made after plastic has been embedded. In the process morphological details remain excellent. The mineralized and cellular structures can be better determined in undecalcified specimens embedded in plastic. The mineral matrix and the cartilaginous and ligament tissues are very well maintained. The results of enzymatic immunohistochemical studies and in-situ hybridization show more sensitive and specific activity because all Technovit plastics harden at low temperatures and below freezing temperatures due to the special composition of the polymerization systems.
- Hard-cutting technique for making thin layers Examples: Iliac crest biopsies, smaller, spongy and compact bone tissue specimens
- Division thin section technique (division procedure in point contact technology) Examples: Tooth/jaw areas with and without implants, non-cemented endoprostheses with shaft bones
- Combined division-thin section technique and hard-cutting technique (target preparation) Examples: Boundary layer and environment assessment for metal implants and non-cemented endoprostheses
Properties: Technovit 9100 Polymerization takes place under the exclusion of oxygen with the help of a peroxide/amine catalyst. Additional components such as PMMA-powder and a regulator allows for a controlled polymerization at temperatures between -8 and -20°C, which guarantees for the dispersion of the heat generated during polymerization. The polymerization time is between 18 and 24 hours using a volume between 3 and 15 ml in the above temperature range. All the routine techniques such as preparation tissues, staining, immuno- and enzyme-histochemistry, in-situ hybridization techniques can be performed.
- Technovit 9100 Basic Solution The Technovit 9100 basic solution is composed of organic monomers, with at least one carbon-carbon double bond (C=C). The stabilizer added to this solution is for storage-stability. Hydrophilic properties are improved by the addition of a special hydrophilic generating agent
- Technovit 9100 PMMA Powder The PMMA powder is an internal filler and it is made up of PMMA-micro pellets. It is used to: – Reduce the polymerization shrinking effect – Reduce the heat generated during the polymerization process – Improve the quality of the polymerization block
- Technovit 9100 Hardener 1 Hardening powder 1 is one of the components of the polymerization initiation system. It is a derivative of dibenzoyl peroxide, which in combination with Hardener 2, makes the polymerization take place
- Technovit 9100 Hardener 2 Hardening liquid 2 works catalytically upon Hardener 1 to allows for a controlled polymerization, even at temperatures below 0°C
- Technovit 9100 Regulator Regulator is composed of a reactive organic compound, which allows a controlled polymerization, even with large volumes of polmer, without increases in the temperature during the polymerization reation
- PMMA-Granulate, EXART This granulate acts as an additional internal filler when larger amounts (500-1000 ml) of polymer are to be used, for example, in the case of femur shaft with non-cemented endoprosthses. The amount of monomer (basic solution) is thereby reduced, at the same time making the polymerization easier to control
![]() |
![]() |
![]() |
![]() |
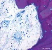
| Section of stent Elastica Van Gieson | Stent Elastika Van Gieson | Polynuclear giant cells Toludin blue stainin | Appendix for pentachrome staining in accordance with Movat |
Technical Data Sheet Technovit® 9100 Methyl Methacrylate Applications Technovit® 9100 Routine staining, Immune Reactions, Enzyme Histochemistry, In-Situ Hybridization Technovit® 9100 Short Instructions












Reviews
There are no reviews yet.