Description
info+ https://www.tandfonline.com/doi/abs/10.1179/his.2005.28.2.99?journalCode=yhis20
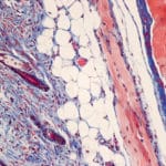
Stain results:
Reticulum Fibers (If beading is observed and/or a dark
background, replace the ammonium hydroxide silver
| Nitrate solution and the reducing solution): | Black | |
| Collagen: | Rose | |
| Other Tissue Elements: | Red |
| MSDS 26392-01 | MSDS 26392-02 | MSDS 26392-03 | MSDS 26392-04 |
| MSDS 26392-06 | MSDS 26392-07 | MSDS 26392-08 | MSDS 26392-09 |
References:
Wilder, H.C., Amer. J. Clin. Path.: 11:817, 1935
Mallory, F.B.: Pathological Techniques, Phil., W.B. Saunders & Co. c. 1938
AFIP Manual of Hitological Staining Techniques, NY, McGraw-Hill Publ., c. 1968/3rd ed, p. 92








Reviews
There are no reviews yet.