Mallory (1938); Van Gieson (1889)
| |||||||
To use with Weigert's Iodine or Weigert's Iron as a connective tissue stain.
MSDS
Storage : RT | |||||||
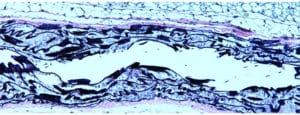
This method is used for identifying elastic fibers in tissues such as skin, aorta, etc. on formalin-fixed, paraffin-embedded sections, and may be used for frozen sections as well. The elastic fibers will be stained blue-black and background will be stained yellow. Sheehan and Hrapchak (1980)
| |||||||
Les verres de montre plats en verrerie de laboratoire possèdent des angles soigneusement arrondis et servent à tous types d'usages en laboratoire | |||||||
A stainless steel tray with grooves that hold 3" x 1" (76 x 25 mm) microscope slides vertically. Accommodates up to 60 slides. | |||||||
An all glass rectangular staining jar which accommodates 8 to 16 slides and comes with a glass lid. Its wide top eliminates the need for forceps in the handling of the slides. It accommodates slides up to 4" x 1½" (102 x 38 mm) in size. Unit : 4/pk | |||||||
Filtre par catégorie
Mallory (1938); Van Gieson (1889)
| |||||||
To use with Weigert's Iodine or Weigert's Iron as a connective tissue stain.
MSDS
Storage : RT | |||||||
This method is used for identifying elastic fibers in tissues such as skin, aorta, etc. on formalin-fixed, paraffin-embedded sections, and may be used for frozen sections as well. The elastic fibers will be stained blue-black and background will be stained yellow. Sheehan and Hrapchak (1980)
| |||||||
Les verres de montre plats en verrerie de laboratoire possèdent des angles soigneusement arrondis et servent à tous types d'usages en laboratoire | |||||||
A stainless steel tray with grooves that hold 3" x 1" (76 x 25 mm) microscope slides vertically. Accommodates up to 60 slides. | |||||||
An all glass rectangular staining jar which accommodates 8 to 16 slides and comes with a glass lid. Its wide top eliminates the need for forceps in the handling of the slides. It accommodates slides up to 4" x 1½" (102 x 38 mm) in size. Unit : 4/pk | |||||||







