Description
Solutions
| An eosin solution, or other counterstain |
| Iron alum-celestine blue | ||
| Ferric ammonium sulphate | 5 | g |
| Celestine blue B | 0.5 | g |
| Distilled water | 100 | mL |
| Glycerol | 14 | mL |
| Dissolve the ferric ammonium sulphate in the distilled water. Add the celestine blue B. Boil for 5 minutes. Cool and filter. Add the glycerol. |
Tissue sample
5µ paraffin sections of neutral buffered formalin fixed tissue are suitable. Other fixatives are likely to be satisfactory.
Method
- Bring sections to water via xylene and ethanol.
- Place into the iron alum-celestine blue solution for 3 minutes to 2 hours.
- Wash with tap water.
- Counterstain with eosin or other counterstain.
- Dehydrate with 95% and absolute ethanols.
- Clear with xylene and mount with a resinous medium.
Expected results
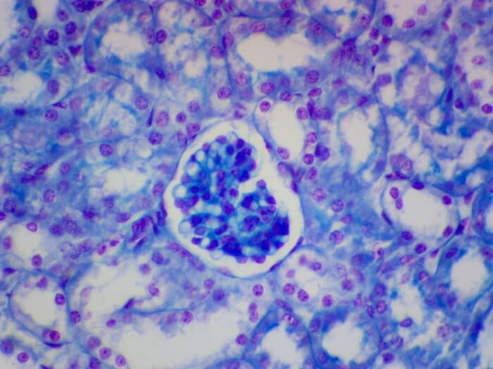
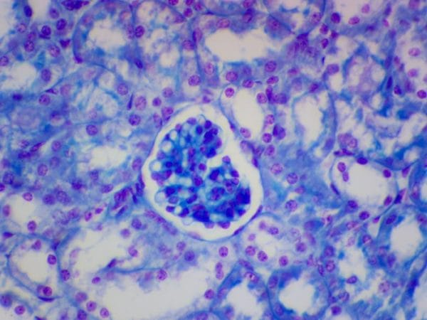
- Nuclei – blue
- Cytoplasm – pink
Notes
- The iron alum-celestine blue solution is stable for a few months.
- A staining time of 5-10 minutes is usually satisfactory for formalin fixed tissues.
- This method has been recommended as a substitute for Hematoxylin and Eosin.
- The celestine blue solution is a modification of that recommended by Proescher and Arkush, and contains added glycerol.
- Gallamine blue and gallocyanin have also been recommended in this method. Neither dye is as stable as celestine blue, although the colour with gallocyanin most closely resembles alum hematoxylin of all three dyes.
Reference
Gray, Peter. (1954)
The Microtomist’s Formulary and Guide.
Originally published by:– The Blakiston Co.
Republished by:– Robert E. Krieger Publishing Co.
Citing:–
Lendrum and McFarlane, (1940)
Journal of Pathology and Bacteriology, v. 50, pp. 381








Reviews
There are no reviews yet.