Description
Hemosiderin or haemosiderin is an iron-storage complex. The breakdown of heme gives rise to biliverdin and iron
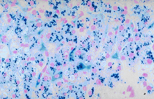
Stain results:
| Hemosiderin: | Blue or Green | |
| Nuclei: | Red | |
| Background: | Pink |
References:
Perls, M., Virchow’s Arch. F. Path. Anat., 39:42-48, 1867
Highman, B., Arch. Path., 33:937-938, 1942
Lillie, R.D. Histopathologic Technic and Practical Histo-chemistry, 3rd Ed. McGraw-Hill, N.Y., 1965
Clark, G., (ed), Staining Procedures 3rd Ed., Williams & Wilkins, Baltimore, p. 157, c. 1973








Reviews
There are no reviews yet.