Description
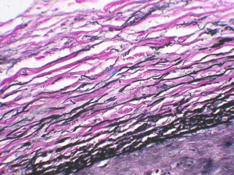
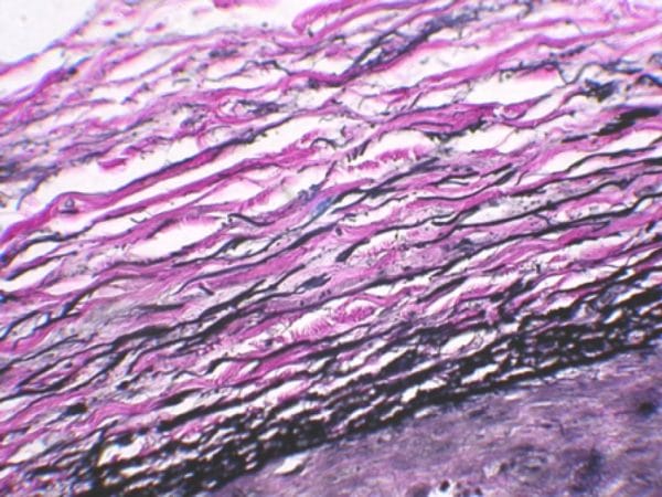
Stain results:
| Elastic Tissues: | Dark Blue | |
| Nuclei (red if Orth’s Carmine used): | Dark Blue | |
| Collagen: | Red-Pink | |
| Miscellaneous Tissue Elements: | Yellow (with Van Gieson’s stain) |
References:
Mallory, F.B.: Pathological Technique; New York: Hafner Publishing Co., c. 1961, p. 168
Clark G.: Staining Procedures, Baltimore: Williams & Wilkins Co., 3rd ed. c. 1973, p. 60
Luna, I.G.: AFIP Histologic Staining Methods: New York: McGraw Hill Book Co., 3rd ed., c. 1968, p. 80








Reviews
There are no reviews yet.