Fully degradable within 7 years These eco-friendly, rapidly degradable containers are one of the most innovative specimen containers on the market today. | ||||||||||||
Fully degradable within 7 years | ||||||||||||
Les écouvillons en mousse Micro-Tec sont constitués d'une mousse de polyuréthane à cellules fermées de 100ppi (100 pores par pouce) de la plus haute qualité, liée thermiquement à un manche en polypropylène. La liaison thermique élimine la contamination par l'adhésif, réduit la contamination et augmente la résistance aux solvants. Ils peuvent être utilisés avec des solvants doux pour nettoyer les surfaces et éliminer les particules, les débris ou les résidus des surfaces. Ils sont disponibles en cinq formes différentes pour les petites ou grandes surfaces et pour nettoyer les endroits difficiles d'accès. | ||||||||||||
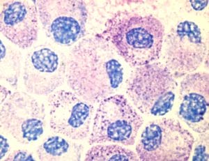
Stain selectivity for nuclei. Ready-to-use.
Storage : RT
MSDS_26040
| ||||||||||||
Mallory (1938); Ehrlich (1886)
| ||||||||||||
We offer a broad line of electrically and thermally conductive materials, which provide solutions to a variety of electrical, electronic, and thermal design problems throughout the laboratories and industries.
Properties Electrically/Thermally Conductive
| ||||||||||||
Achieve excellent shielding against radiated electromagnetic interference (EMI)
Electrodag 1415M is an economic silver-based shielding coating designed to provide high electromagnetic compatibility (EMC) coverage without sacrificing conductivity.
It provides low resistance, even after exposure to humidity, salt spray, heat or cold. It requires no primer or top coat. Apply by spray or with the included brush and air dry. It is compatible with plastics used for electronic equipment enclosures.
Electrodag 1415M is suitable for replacing shielding coatings containing silver-plated copper.
Technical Data Sheet
MSDS_12697
MSDS_12697-10 | ||||||||||||
Filtre par catégorie
Filtres Trier les résultats
Rafraîchir Appliquer








