Description
Haematoxylin (Ehrlich) S059
Composition
2.0gm
100.0ml
100.0ml
3.0gm
Ingredients
Haematoxylin
Alcohol 95%
Glycerine
Aluminium potassium sulfate (Alum)
Glacial acetic acid
Sodium iodate
10.0ml
0.1gm
100.0ml
A.Hematoxylin staining (H&E staining):
1. Flame the slide and place in xylene for 3-4 minutes. Repeat xylene treatment with agitation.
2. Dip in 100% absolute alcohol for 30-60 seconds. Next dip in 90%, 80% and in 70% absolute alcohol. Wash in tap water
and rinse in distilled water.
3.Stain tissue section or cell preparation for 2-5min. with hematoxylin (Ehrlich) (S059).
4. Rinse with water to remove excess reagent.
5. Place in 0.5%9V/V) Hydrochloric acid
6. Rinse in distilled water for 30-60 seconds
7. Dip in dilute ammonia water till section appears blue.
8. Wash in tap water and place slide in 95% alcohol for 30 sec.
9. Place eosin counter stain for 30-60 sec. Drain the solution
10.Dip slide in 70% alcohol for 30-60 seconds.
11.Place in 95% alcohol for 30-60 seconds.
12.Place in absolute alcohol (2 changes, 30-60 seconds each).
13.Place the slide twice in xylene for 30-60 seconds.
14.Drain excess xylene and mount on DPX or Canada balsam with a coverslip.
The first 2 steps of the procedure are collectively referred to in all staining procedures as ‘deparaffinize.’ Steps 3-9 are referred
to as ‘staining’. The last 5 steps are referred to in all staining methods as ‘dehydrate, clear, and mount.’
B.Hematoxylin Nuclear counter staining:
1. Deparafinize the section.
2. Carry out the individual staining procedure (as desired).
3. Rinse the slide with deionized water.
4.Counter stain the tissue section with hematoxylin (Ehrlich) (S059) for 2-5 min.
5. Rinse with water to remove excess reagent.
6. Place in bluing reagent (alkaline solution such as a weak ammonia solution, 0.08% in water) until stain is blue (approximately
30 sec.).
7. Rinse in distilled water.
8. Section can be mounted in aqueous mounting media.
Distilled water
Intended Use:
Haematoxylin (Ehrlich) is used for nuclear stain for Immunohistochemical and cytochemical staining. It may also be used
for the routine Hematoxylin and Eosin staining.
Principle And Interpretation
Hematoxylin is extracted from the heartwood of the logwood tree, Hemtoxylin campechianum. Hematoxylin (Ehrlich) solution
contains the dye, hematin and the Aluminum potassium sulfate as a mordant which provides the stain colour (blue) glacial
acetic acid controls the pH of the Solution. It can be used as nuclear counter stain (as in PAS staining etc.)
Hematoxylin (Ehrlich) reagent is suitable for immunohisto chemical application. It is the slowest of progressive stains. For
histochemical purposes, the progressive staining is commonly used in which dye selectively stains the nuclear chromatin
without staining cytoplasmic structures. Slides are left in the hematoxylin solution only long enough to stain the nuclei. The
excess dye should be removed by ‘blueing’ of the tissue. Initially the tissue sections are coloured either purple or reddish purple,
on exposure to alkaline solution, the tissue section takes on the characteristic blue colour.
Hematoxylin-Eosin is the commonly used stain, which is specific for certain substances of diagnostic importance. Here, acid
reacting components of the cell combine with alkaline dyes and the alkaline area react with acid dyes. The stain is available
for amyloid, lipids, inorganic substances such as iron and calcium, pigments like melanin and hemosiderin, carbohydrates and
mucopolysaccharides.
Quality Control
Appearance Wine red coloured solution.
Clarity Clear without any particles.
Microscopic Examination Immunohistochemical / cytochemical staining is carried out and staining characteristic is observed under microscope.
Results
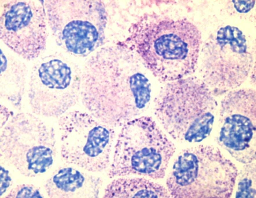
A)Haematoxylin Stainig (H&E staining):
Nuclei : Blue colour
Cytoplasm : Pink colour
B)Haematoxylin Nuclear counter staining: Nuclei : Blue colour
Reference
1) Clark G (Ed) 1981, Staining Procedures, 4th edition, Published for the Biological Stain Commission by Williams & Wilkins,
London.
2)Bauer J.D., Ackermann P.G. and Toro G. (Eds.), 1974, Clinical Laboratory Methods, 8th ed., The C.V. Mosby Co., St.
Louis.
3) Ehrlich, P. 1886. Die von mir herrührende Hämatoxylinlösung. Z. Wiss. Mikrosk. 3: 150








Avis
Il n’y a pas encore d’avis.