Description
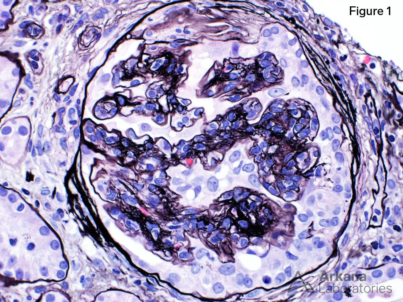
Jones‘ stain, also Jones stain, is a methenamine silver-Periodic acid-Schiff stain used in pathology. It is also referred to as methenamine PAS which is commonly abbreviated MPAS. It stains for basement membrane and is widely used in the investigation of medical kidney diseases.
Stain results:
| Basement membranes, reticulum fibers: | Black | |
| Nuclei: | Blue | |
| Cytoplasm, collagen, connective tissue: | Pink-Orange |
| MSDS 26396-01 | MSDS 26396-02 | MSDS 26396-03 | MSDS 26396-04 |
| MSDS 26396-05 | MSDS 26396-06 | MSDS 26396-07 | MSDS 26396-09 |
| MSDS 26396-11 | MSDS 26396-12 | MSDS 26396-13 | MSDS 26396-14 |
References:
Jones, D.B., Amer. J. Path. 27:99 (1951)
AFIP Manual of Histological Staining Methods, 3rd Ed., Ed. L. Luna: NY: McGraw-Hill Publications, c. 1968, p. 97
F.5 Keratin Stains






Avis
Il n’y a pas encore d’avis.