14 résultats affichés
Carstairs (1965) Carstairs' Method for Fibrin & Platelets
| |||||||
Keratin stain method for the staining of keratin, prekeratin, acid mucopolysaccharides and nuclei. | |||||||
Kit various stain solutions. For connective tissue stains – Elastic tissue stain. Stain with a poly-acid step.
| |||||||
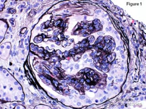
Jones' stain, also Jones stain, is a methenamine silver-Periodic acid-Schiff stain used in pathology. It is also referred to as methenamine PAS which is commonly abbreviated MPAS. It stains for basement membrane and is widely used in the investigation of medical kidney diseases. - Silver Method | |||||||
Masson's trichrome is a three-colour staining protocol used in histology. The recipes evolved from Claude L. Pierre Masson's (1880–1959) original formulation have different specific applications, but all are suited for distinguishing cells from surrounding connective tissue. Sheehan and Hrapchak (1980)
| |||||||
For connective tissue stains – Stain with a poly-acid step.
Technical Data Sheet
| |||||||
Muscle Following Phosphomolybdic Acid Treatment
| |||||||










