Description
FIXATION: 10% buffered neutral formalin for 48 hours or longer.
TECHNIQUE: Paraffin sections cut at 5 μm.
SOLUTIONS:
Modified Weigert’s Iron Hematoxylin
(See Gomori’s One Step Trichrome Method)
0.5% Acid Alcohol Solution
(See Truant’s Method for Acid Fast Bacilli)
Picro-Orange G Solution
Picric acid, saturated aqueous ————————————————- 100.0 ml
Orange G, C.I. 16230 ———————————————————– 1.0 gm
Ponceau-Fuchsin Solution
Acid fuchsin, C.I. 42685 ——————————————————- 0.5 gm
Ponceau 2R (Ponceau Xylidine) C.I. 16150 ———————————— 0.5 gm
Distilled water ——————————————————————- 99.0 ml
Acetic acid ——————————————————————— 1.0 ml
*Phosphomolybdic-Phosphotungstic Acid Solution
Phosphomolybdic acid ———————————————————- 2.5 gm
Phosphotungstic acid ———————————————————– 2.5 gm
Distilled water ——————————————————————- 100.0 ml
*This solution is the same one used in Masson’s trichrome stain.
*Aniline Blue Solution
Aniline blue, C.I. 42755 ——————————————————– – 1.0 gm
Distilled water ——————————————————————- 40.0 ml
Acetic acid ———————————————————————– 0.8 ml
*This solution is the same one used in Masson’s trichrome stain.
Staining Procedure:
- Use control slide.
- Deparaffinize and hydrate to distilled water.
- Modified Weigert’s iron hematoxylin for 5 minutes.
- Wash in running water and rinse in distilled water.
- Place in acid alcohol for 5 seconds.
- Wash in running water for 1 minute and rinse in distilled water.
- Picro-orange G solution for 3 minutes.
- Rinse in three changes of distilled water.
- Ponceau-fuchsin for 3 minutes.
- Rinse in three changes of distilled water.
- Differentiate in phosphomolybdic acid-phosphotungstic acid solution for 3 minutes.
- Rinse in three changes of distilled water.
- Aniline blue solution for 2 minutes.
- Rinse in three changes of distilled water.
- Dehydrate in graded alcohols and clear in xylene, three or four changes.
- Mount with synthetic resin
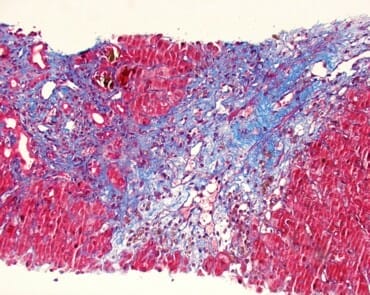
Stain results:
| 48 hours or more | Less than 48 hours | |
| Fibrin: | Bright Red | Orange to Orange-Red |
| Platelets | Gray blue to navy | Light Gray |
| Collagen: | Bright Blue | Bright Blue |
| Muscle: | Red | Red |
| Red Blood Cells: | Clear Yellow | Red, Green or Yellow |








Avis
Il n’y a pas encore d’avis.